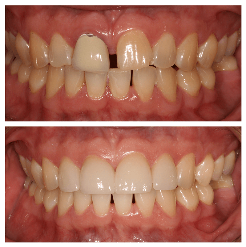
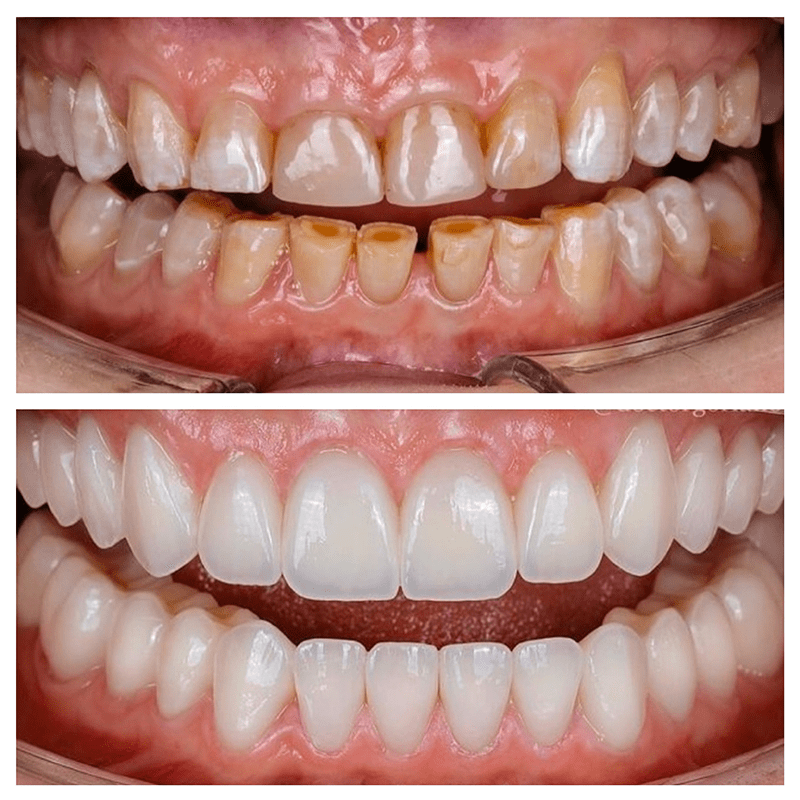
Examples Of Our Work:
Ready To Write Your Own Success Story?
Every smile in our gallery represents a patient who trusted Dr. Phan with their care and left with a result that genuinely changed the way they feel about their smile. From closing gaps and correcting discoloration to rebuilding severely worn teeth and repairing accident damage, the transformations achieved at Hefner Dental speak for themselves. If you are ready to see what is possible for your smile, book your free consultation online today. We look forward to welcoming you to Hefner Dental in Oklahoma City, OK.








